Сайт для врачей и фармацевтов
Карта сайта Сделать стартовой Добавить в избранное
Loading
Медицинский информационный портал
Мой путь в немецкую клинику

Немецкая медицина является для многих врачей одним из эталонов качества, надежности и мастерства. Это и неудивительно - мне, как хирургу, в своей повседневной клинической деятельно..


ПСИХУШКА ЗА ПОБЕГ ИЗ ДЕТДОМА

Две недели назад в Гражданскую комиссию по правам человека поступило очередное сообщение по поводу того, что 15-летнего подростка поместили из обычного детского дома в психиатриче..


Как сдавать PLAB экзамены

лицензии на работу врачом в Великобритании. Однако ему должна предшествовать успешная (с проходным баллом 7) сдача теста по английскому языку (IELTs)...


Новые горизонты терапевтического ультразвука

Наибольшие ожидания связаны c тромболизисом. Ультразвуковое воздействие на тромбированные сосуды инициирует и усиливает деполимеризацию тромба с повышением взаимодействия тромболит..


Охота на фармацевтов и врачей

Две трети судебных юристов США, зарабатывающих на процентах от отсуженных компенсаций пострадавшим, специализируются на "медицинских" процессах - исках к производителям лекарств и..


Каким быть ногтям медицинского работника

Всемирная организация здравоохранения (ВОЗ) обращает внимание на то, что искусственные акриловые ногти способствуют сохранению контаминации рук после использования мыла или содержа..


Клонирован мочевой пузырь

Клонирование человека - дилемма. Клонирование отдельных органов - мечта. Возможность менять старые, отработавшие, больные органы на новые будоражит умы и врачей, и пациентов. Актуа..


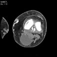
Синовиальная киста подколенной ямки. Синовиальная киста подколенной ямки OpenWindow.document.write("Medicus Amicus - Медицинские изображения")

Пациент R., 59 лет
Синовиальная киста подколенной ямки.
ЦКБ5 Южной железной дороги, отделение лучевой диагностики.

Слайдфильм








































































Протокол.
Контрастированы поверхностные и глубокие вены левого коленного сустава. Костно-деструктивные изменения не определяются. Дегенеративно-дистрофические изменения в проксимальном бежберцовом сочленении. В области подколенной ямки, прилежа медиально и кзади к подколенной мышце, полостное образование размерами 42х36х56 мм, содержащее жидкость (16-20 HU) с четкими ровными контурами, без признаков сдавления глубоких вен подколенной ямки.


 Новости

« Октябрь ´25 »
ПВСЧПСВ
  12345
6789101112
13141516171819
20212223242526
2728293031
20


Партнеры




Vox populi - vox dei

Хотите ли Вы принимать участие в коротких интернет-опросах на медицинскую тематику?

Да
Нет


Результаты предыдущих голосований

В каком виде Вы предпочитаете читать книги по медицине?

 Только бумажные издания - 35 [12%]

 Предпочитаю бумажные, но согласен и в электронном виде - 94 [33%]

 Мне все-равно электронные или бумажные, лишь бы полезные - 101 [36%]

 Предпочитаю электронные, потому, что они дешевле бумажных аналогов - 51 [18%]


Всего голосов: 282



Medicus Amicus - это медицинский сайт, фотосайт, психологический сайт,
сайт постоянного медицинского образования, медицинская газета и даже медицинский журнал.
Все замечания и пожелания присылайте используя форму обратной связи
Все права защищены и охраняются законом.
© 2002 - 2025 Rights Management
Автоматизированное извлечение информации сайта запрещено.
Подробности об использовании информации, представленной на сайте
в разделе "Правила использования информации"