Сайт для врачей и фармацевтов
Карта сайта Сделать стартовой Добавить в избранное
Loading
Медицинский информационный портал
Мой путь в немецкую клинику

Немецкая медицина является для многих врачей одним из эталонов качества, надежности и мастерства. Это и неудивительно - мне, как хирургу, в своей повседневной клинической деятельно..


ПСИХУШКА ЗА ПОБЕГ ИЗ ДЕТДОМА

Две недели назад в Гражданскую комиссию по правам человека поступило очередное сообщение по поводу того, что 15-летнего подростка поместили из обычного детского дома в психиатриче..


Как сдавать PLAB экзамены

лицензии на работу врачом в Великобритании. Однако ему должна предшествовать успешная (с проходным баллом 7) сдача теста по английскому языку (IELTs)...


Новые горизонты терапевтического ультразвука

Наибольшие ожидания связаны c тромболизисом. Ультразвуковое воздействие на тромбированные сосуды инициирует и усиливает деполимеризацию тромба с повышением взаимодействия тромболит..


Охота на фармацевтов и врачей

Две трети судебных юристов США, зарабатывающих на процентах от отсуженных компенсаций пострадавшим, специализируются на "медицинских" процессах - исках к производителям лекарств и..


Каким быть ногтям медицинского работника

Всемирная организация здравоохранения (ВОЗ) обращает внимание на то, что искусственные акриловые ногти способствуют сохранению контаминации рук после использования мыла или содержа..


Клонирован мочевой пузырь

Клонирование человека - дилемма. Клонирование отдельных органов - мечта. Возможность менять старые, отработавшие, больные органы на новые будоражит умы и врачей, и пациентов. Актуа..


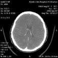
Нормальное состояние сосудов виллизиевого круга.

Пациент P., 30 лет
Нормальное состояние сосудов виллизиевого круга.
ЦКБ5 Южной железной дороги, отделение лучевой диагностики.

Слайдфильм


















































































Протокол.
На КТ-сканах вещество головного мозга без очаговых изменений, плотностью 24-37 HU. Срединные структуры головного мозга не смещены. Желудочки мозга обычной формы, не расширены (ширина III желудочка - 2 мм, передних рогов боковых: правого 3 мм, левого 6 мм). Конвекситальные подпаутинные пространства не расширены. Цистерны мозга асимметричны с расширением сильвиевой щели в передних отделах слева. Субтенториальные структуры без особенностей. Селлярная область не изменена. Пневматизация основной, фронтальной пазух и клеток решетчатого лабиринта не нарушена. Костно - деструктивные изменения не определяются. В условиях ангиографии (Омнипак 300 - 100,0) контрастированы сосуды виллизиева круга и их интракраниальные ветви. Патологические изменения положения, калибра, наполнения не выявлены.


 Новости

« Март ´26 »
ПВСЧПСВ
      1
2345678
9101112131415
16171819202122
23242526272829
3031
10


Партнеры




Vox populi - vox dei

Хотите ли Вы принимать участие в коротких интернет-опросах на медицинскую тематику?

Да
Нет


Результаты предыдущих голосований

В каком виде Вы предпочитаете читать книги по медицине?

 Только бумажные издания - 35 [12%]

 Предпочитаю бумажные, но согласен и в электронном виде - 94 [33%]

 Мне все-равно электронные или бумажные, лишь бы полезные - 101 [36%]

 Предпочитаю электронные, потому, что они дешевле бумажных аналогов - 51 [18%]


Всего голосов: 282



Medicus Amicus - это медицинский сайт, фотосайт, психологический сайт,
сайт постоянного медицинского образования, медицинская газета и даже медицинский журнал.
Все замечания и пожелания присылайте используя форму обратной связи
Все права защищены и охраняются законом.
© 2002 - 2026 Rights Management
Автоматизированное извлечение информации сайта запрещено.
Подробности об использовании информации, представленной на сайте
в разделе "Правила использования информации"