Сайт для врачей и фармацевтов
Карта сайта Сделать стартовой Добавить в избранное
Loading
Медицинский информационный портал
Системы удаленного осмотра: как сэкономить на обязательных медосмотрах?

Удаленный осмотр — это процедура, позволяющая определить готовность сотрудника к выходу на рейс/смену без личного присутствия медицинского специалиста. Она реализуется с помо..


Что такое тонометр на запястье и кому он показан

Чем полезен тонометр на запястье? Артериальное давление – жизненный показатель, который крайне важно контролировать. Данная величина показывает, какую силу кровь, выталкиваем..


Прием антипсихотиков повышает риск смерти у несовершеннолетних

Исследователи разбили пациентов на три группы – дети и взрослые, получавшие терапию антидепрессантами и психостимуляторами; дети и юные взрослые, получавшие терапию пониженны..


Медики раскрыли, как диагностировать рак почек

Это позволяет сделать стандартный анализ крови, заключили авторы проекта...


Нормы здорового артериального давления изменились

Заявление о новом нормативе в отношении показателей артериального давления прозвучало на ежегодной кардиологической конференции в Мюнхене, а сами нормы опубликовал на своих страниц..


Кабмін підтримав скасування дозволів на цілительство

Проект закону ініціювало Міністерство охорони здоров'я на початку січня 2018 року..


Ученые предлагают учитывать поведение людей в анализе распространения эпидемий

Ученые из Университета Ватерлоо предлагают использовать математические модели для анализа распространения инфекционных заболеваний. Об этом пишет «EurekAl..


МРТ для диагностики инфекционно-воспалительных процессов МРТ для диагностики инфекционно-воспалительных процессов

МРТ для диагностики инфекционно-воспалительных процессов

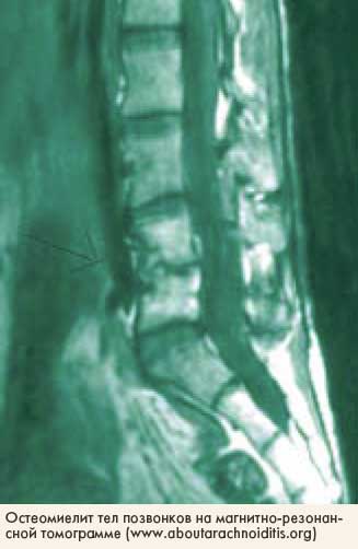
На Европейском конгрессе радиологов, который прошел в марте 2004 года в Вене (Австрия), был представлен доклад, посвященный сравнительному анализу диагностических методов инфекционно-воспалительных процессов мягких тканей, костей и суставов на ранних стадиях развития. Акцент был сделан на преимуществах современных возможностей магнитно-резонансного исследования.

МРТ для диагностики инфекционно-воспалительных процессов

По мнению авторов доклада, традиционная рентгенография недостаточно чувствительна для выявления первых признаков развития инфекции мягких тканей, но высокоинформативна для ранней диагностики воспаления костей и суставов. Ультразвуковое исследование способно выявлять гипоэхогенные зоны, связанные с отеком, например, мышечной ткани, но все же наиболее информативно на поздних этапах инфекционного процесса, когда формируются полости. Радиоизотопные исследования позволяют выявить, например, накопление технеция-99 метилендифосфата в некротизированных мягких тканях, но малоинформативны для ранней диагностики.
С помощью компьютерной томографии можно обнаружить скопление газа, выявить зону отека в мягких тканях уже на ранних стадиях процесса, но метод менее информативен, чем магнитно-резонансное исследование, позволяющее, кроме того, определить степень и тип изменений в тканях с помощью современных возможностей обработки изображений и анализа характера регистрируемых сигналов. В настоящее время ЯМР также успешно используется для ранней диагностики инфекционно-воспалительных процессов, локализующихся в костной ткани и суставах.
www.medinews.com

Medicus Amicus 2004, #5


Оценка статьи: 4.6
  плохо234  5 хорошо


 Новости

« Март ´26 »
ПВСЧПСВ
      1
2345678
9101112131415
16171819202122
23242526272829
3031
21


Партнеры




Vox populi - vox dei

Хотите ли Вы принимать участие в коротких интернет-опросах на медицинскую тематику?

Да
Нет


Результаты предыдущих голосований

В каком виде Вы предпочитаете читать книги по медицине?

 Только бумажные издания - 35 [12%]

 Предпочитаю бумажные, но согласен и в электронном виде - 94 [33%]

 Мне все-равно электронные или бумажные, лишь бы полезные - 101 [36%]

 Предпочитаю электронные, потому, что они дешевле бумажных аналогов - 51 [18%]


Всего голосов: 282



Medicus Amicus - это медицинский сайт, фотосайт, психологический сайт,
сайт постоянного медицинского образования, медицинская газета и даже медицинский журнал.
Все замечания и пожелания присылайте используя форму обратной связи
Все права защищены и охраняются законом.
© 2002 - 2026 Rights Management
Автоматизированное извлечение информации сайта запрещено.
Подробности об использовании информации, представленной на сайте
в разделе "Правила использования информации"